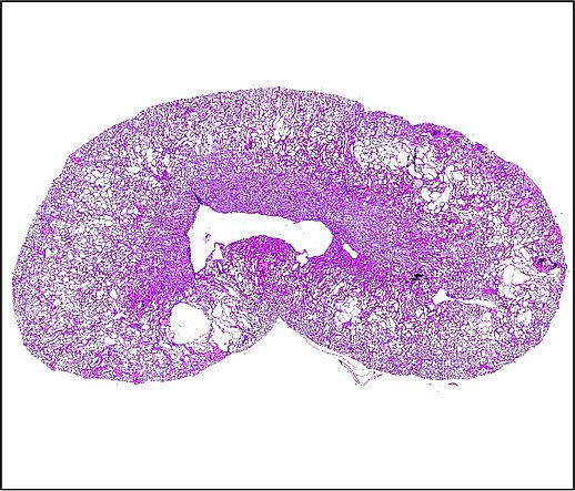
Mechanismen renalen Zystenwachstums
In unserer Forschungsgruppe untersuchen wir die zugrunde liegenden Mechanismen des Zystenwachstums bei Zystennierenerkrankungen. Diese sind häufig genetisch bedingt; die am weitesten verbreitete Form ist die autosomal dominante polyzystische Nierenerkrankung (ADPKD). Etwa einer von tausend Menschen ist betroffen. Charakteristisch für ADPKD ist die fortschreitende Entwicklung zahlreicher flüssigkeitsgefüllter Hohlräume (Zysten) in beiden Nieren. Über Jahre hinweg wachsen diese Zysten kontinuierlich und verdrängen zunehmend gesundes Nierengewebe, was bei einem großen Teil der Patientinnen und Patienten letztlich zu einem Verlust der Nierenfunktion führt. Ein wesentlicher Treiber dieses Wachstums ist die Sekretion von Chlorid und Flüssigkeit durch das Zystenepithel in das Zystenlumen. Wir erforschen daher, welche Proteine und welche milieuabhängigen Faktoren diese Sekretionsprozesse beeinflussen. Langfristiges Ziel unserer Arbeit ist es, Strategien zu entwickeln, die das Zystenwachstum hemmen und die Nierenfunktion erhalten.
In diesem Zusammenhang testen wir zudem geeignete pharmakologische Substanzen, die das Zystenwachstum reduzieren könnten – in einem Spektrum von in vitro- bis in vivo-Modellen – mit dem klaren translationalen Ziel, vielversprechende Wirkstoffe in klinische Studien zu überführen.
Die Rolle von Hypoxie
Mit zunehmendem Zystenwachstum entsteht eine fortschreitende Hypoxie in der Zystenniere. Dies führt insbesondere zu einer verstärkten Expression des Hypoxie-induzierbaren Faktors HIF-1α im Zystenepithel. Wir untersuchen, wie diese veränderte HIF-1α-Expression das Zystenwachstum beeinflusst.
Die Rolle von Anoctaminen
Die Sekretion von Chlorid in das Zysteninnere erfolgt über luminal lokalisierte Chloridkanäle. Neben dem cAMP-abhängigen CFTR-Kanal tragen auch Ca²⁺-aktivierte Chloridkanäle wesentlich zu diesem Prozess bei. In diesem Kontext analysieren wir die Bedeutung der Anoctamine, einer neu identifizierten Familie Ca²⁺-aktivierter Chloridkanäle, für die sekretionsabhängige Zystenvergrößerung.
Die Rolle purinerger Rezeptoren
Die Aktivierung Ca²⁺-abhängiger Chloridkanäle wird häufig durch die Stimulation purinerger Rezeptoren (P2Y- und P2X-Rezeptoren) durch extrazelluläres ATP vermittelt. Wir erforschen, welchen Einfluss diese Rezeptoren auf das sekretionsgetriebene Zystenwachstum ausüben.
Arbeitsgruppenleiter
Wissenschaftliche Mitarbeitende Post-doc
Wissenschaftliche Mitarbeitende Post-doc Universität Regensburg
Dr. rer. nat. Kathrin Skoczynski
E-Mail: kathrin.skoczynski(at)vkl.uni-regensburg.de
Haupttätigkeit bei: Universität Regensburg
Technische Mitarbeitende
Kooperationen
- PhD Dorien J.M. Peters, Leids Universitair Medisch
- Prof. Stefan Somlo, MD, Yale School of Medicine
SFB 1350 Projekt A2, Universität Regensburg







